Брекеты у лучших ортодонтов Москвы!
Передовые стоматологические методики исправления прикуса и выравнивания зубов без боли.
от 18 000 руб.
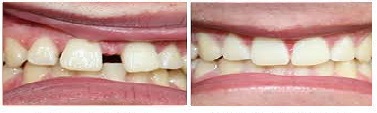
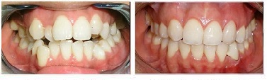
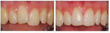
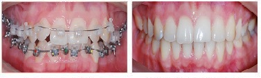
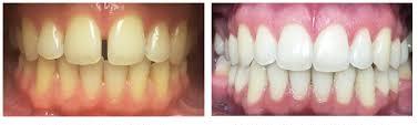
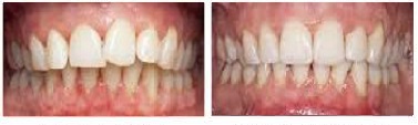
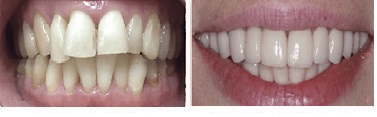
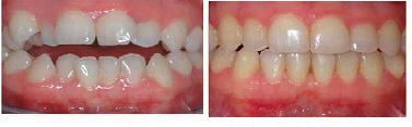
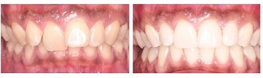
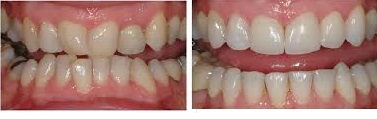
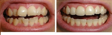
Записаться на приёмНеправильный прикус – это не только эстетическая проблема. Нарушения зубного ряда ухудшают жевательные, речевые функции и даже приводят к быстрой потере зубов. Поэтому стоматологи рекомендуют обязательно исправлять прикус, устанавливая специальные конструкции – брекеты.
При правильном выборе системы и составлении грамотного плана лечения зубной ряд исправляется, улыбка становится эстетичной и привлекательной.
Виды конструкций
Сапфировые брекеты
Кроме эстетики, сапфировые брекеты являются, также, и особо прочными. В отличие от керамических и пластиковых материалов, основой искусственно выращенного сапфира является кристаллическая решетка, которая дает возможность материалу выдержать даже сверх сильной нагрузки. Кроме этого производители изготавливают каждый брекет так, чтобы он надежно фиксировался на зубе в течение всего периода лечения, а также крепко удерживал дуги брекет-системы.
Лингвальные брекеты
Лингвальные брекеты эффективны для коррекции прикуса. Их важнейшее преимущество также кроется и в эстетической составляющей. Но это не всё, чем хороши такие конструкции. Внутренняя фиксация обеспечивает лингвальным брекетам более качественное омывание слюной, в результате чего кариес образуется реже. Кроме того, любые изменения с цветом эмали, которые возможны при ношении ортодонтических систем, будут находиться с внутренней стороны и никак не повлияют на эстетику зубного ряда.Состав этих систем полностью исключает любые окислительные процессы и нежелательные аллергические реакции.
Комбинированные брекеты
Производители брекет-систем используют различные материалы: пластик, металл и керамику.
У каждого из этих материалов есть как свои преимущества, так и недостатки.
Например, металлические брекеты – эффективное средство, но не слишком эстетичное. Сапфировые брекеты - практически незаметны на зубной поверхности, но при этом, менее прочные и требуют более продолжительного использования. Принимая во внимание все вышеизложенное, дантисты разработали отличное решение – комбинированные ортодонтические брекеты.
Металлические брекеты
Они позволяют добиться идеально ровного зубного ряда в течение нескольких месяцев. Свою эффективность стоматологические конструкции из металла доказывают уже много лет. Металлические брекеты отличаются самой низкой ценой по сравнению с сапфировыми и керамическими конструкциями.
Керамические брекеты
Если металлические конструкции не могут похвастаться эстетикой, то керамические брекеты лишены этого недостатка. Для пациента их ношение связано с меньшей долей дискомфорта. Керамические брекеты не бросаются в глаза и выглядят аккуратно. Этот фактор очень важен, ведь коррекция может длиться год и даже больше. С керамическими брекет-системами почти все пациенты доводят начатое лечение до логического завершения – идеально ровного зубного ряда.
Прозрачные капы (Элайнеры)
Ещё совсем недавно для исправления положения зубов использовались исключительно брекеты.
Эти конструкции и сегодня применяются повсеместно. Альтернативой брекетам являются прозрачные каппы-элайнеры, которые сначала проектируются в 3D и только потом изготавливаются.Посторонние люди не будут знать о прохождении лечения. Кроме того, каппа не требует привыкания, так как создаётся индивидуально. Это обусловило популярность капп во всём мире.
Стоимость брекетов
| Услуги | |
|---|---|
| Исправление прикуса элайнерами | 163 000 руб. от 133000 руб. |
| Комбинированные брекеты | от 17000 руб. |
| Альтернатива брекетам — каппы-элайнеры | 163 000 руб. от 133000 руб. |
| Лингвальные брекеты | от 300 000 руб. |
| Сапфировая брекет-система |
на одну челюсть 17 000 руб. 8 500 руб.
на две челюсти 34 000 руб. 17 000 руб.
|
| Керамическая брекет-система |
на одну челюсть 24 000 руб. 12 000 руб.
на две челюсти 48 000 руб. 24 000 руб.
|
| Металлическая брекет-система |
на одну челюсть 18 000 руб. 9 000 руб.
на две челюсти 36 000 руб. 18 000 руб.
|
| Консультация ортодонта | 700 руб. от 0 руб. |
Ответьте на несколько вопросов и получите гарантированную скидку
Наши преимущества
- 01Работаем с дентальным микроскопом, что в значительной степени повышает качество оказания медицинской помощи
- 02Внутриротовой сканер - самая перспективная и полезная техника для 3D моделирования зубов в настоящем и ближайшем будущем. Интраоральное сканирование –сегодня единственно возможный способ сделать цифровой оттиск зубов пациентов , которые не переносят обычные слепочные массы
- 03Используем в работе искусственный интеллект для безошибочной диагностики
- 04Компьютерный томограф высокого экспертного класса с безопасной дозой облучения
- 05Работаем по ДМС – в течение 21 года мы являемся надежными партнерами в секторе В2В
- 06Лечение в наших клиниках предельно безопасно
- 07Оказываем безопасное лечение будущим мамам
- 08Лучшие программы реабилитации для пациентов зрелого возраста
- 09Работаем с передовыми системами имплантации
- 10Лечим в рассрочку без % и переплат
- 11Поддерживаем пациентов 24/7
- 12Удобная транспортная доступность и парковка для пациентов
- 13Специалисты высочайшего уровня, врачи ВСЕХ специальностей и современное оборудование последнего поколения
- 14Персональный координатор лечения
Видео о брекетах
Врачи, занимающиеся брекетами



КРЕДИТ и РАССРОЧКА в «Доктор Смайл»
С помощью банков партнеров:
- Рассрочка действует на все виды стоматологической помощи.
- Гарантировано — без переплат и скрытых комиссий. Без предоплаты.
- Рассрочка предоставляется до 2-х лет, на сумму до 500 000 рублей.
- Оформление – по паспорту за 20 минут.
Карта рассрочки Банка Хоум Кредит "Свобода" можно оформить и получить у нас в клинике!
Как мы работаем?
Отзывы пациентов
Спасибо Тамкович Е.Ю. и всей команде Доктор Смайл!






















